ACL ön çapraz bağ tedavisi, bacaklarımız vücudumuzun tüm yükünü taşıyan en fedakar parçalarımızdandır. Burada meydana gelecek bir ağrı tüm hayatımızı olumsuz etkiler. Bu olumsuzluklardan birisi ACL ön çapraz bağ yaralanmalarıdır. Spor yaparken bazen de ters bir hareket yaptığımızda dizimizde bu bağ yaralanmaları oluşur. Dizimizi birbirine sabit tutan dört önemli bağdan biri olan ön çapraz bağın kopması sıklıkla karşılaşılan bir durumdur. Genellikle sporcularda görülen bu durum ani hareketler sonucunda oluşur. İlla dize alınan darbeler gerçekleşmeyen bu durum yüksek tempolu spor yapan kişilerde görülür. Dizlerinde sanki bir kopma hissi yaşayan hastalarda kısa süre içinde dizin şiştiği görülür. Büyük bir acıya yol açan bu durumda ACL ön çapraz bağ tedavisi yöntemiyle hasta bu ağrılardan kurtulur.
ACL ön çapraz bağ hastalığı nedir?
ACL ön çapraz bağ hastalığı genellikle spor yapan bireylerde görülür. Bu diz yaralanması ön çapraz bağın hasar görmesiyle oluşur. Bu durum dizin ani şekilde hızla yön değiştirmesi, tempolu bir şekilde hareket ederken aniden durmak, dize alınan darbe ve çarpmalar sebebiyle oluşabilir. Bu bağın yırtıldığını hasta sıcağı sıcağına bile hissedebilir. Ön çapraz bağdan gelen ses belirtiler arasındadır. Şişmeye başlayan dizde oldukça yüksek dereceli ağrılar hissedilir. Eğer doğru zamanda tedavi yapılmazsa çok büyük sonuçlara sebep olabilir. Asla eskisi gibi spor yapamayabilirsiniz. Hareketleriniz kısıtlanır. Bu sebeple böyle bir durum yaşadığınızda zaman kaybetmeden doktorunuza başvurmalısınız. Bu konuda uzman hekimlerimiz daima siz hastalarımızın yanında.
ACL ön çapraz bağ nasıl tedavi edilir?
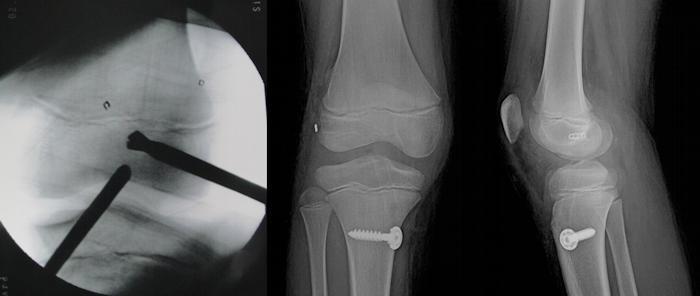
ACL ön çapraz bağ tedavisi cerrahi müdahalelerle yapılmaktadır. Ön çapraz bağı onararak dizi stabilize eden bu yöntemde yırtılan bağ değiştirilir. Burada önemli olan bir başka husus da rehabilitasyon sürecidir. Hastanın bu süreçte fizik tedavi yöntemleriyle dizinin güçlendirilmesi sağlanır. Doktorun vereceği fizik tedavi programı eklem çevresindeki kasları da harekete geçirir ve yeni bağlar bu programla korunur. Bu konuda alanında uzman kişilerle bu tedavi süreci tamamlanmalıdır. ACL ön çapraz bağ tedavisini sizler için en iyi şekilde uygulayarak bu konudaki başarılarını kanıtlayan hekim kadromuz daima yanınızda.